Grauer Star: Was kann moderne Kataraktchirurgie?
Medizin informiert
Vortrag von Univ.-Prof. Dr. Michael Amon im Beratungszentrum der Hilfsgemeinschaft: „Moderne Kataraktchirurgie – was ist möglich?“
Bereits zum zweiten Mal war der international anerkannte Augenexperte im Beratungszentrum der Hilfsgemeinschaft der Blinden und Sehschwachen Österreichs zu Gast: Univ.-Prof. Dr. Michael Amon, Vorstand der Augenabteilung im Krankenhaus der Barmherzigen Brüder in Wien, sprach am 23. März 2016 über die neuesten Entwicklungen auf dem Gebiet der Kataraktchirurgie.
Historische Hintergründe der Kataraktforschung
Am Beginn standen grundlegende Erläuterungen über den Aufbau des Auges und wie Kurz- bzw. Weitsichtigkeit mittels Linsen korrigiert werden können. Der Begriff „Katarakt“ („Wasserfall“) stammt aus dem Altgriechischen und wurde erstmals 1.018 n. Chr. verwendet. Natürlich wies Professor Amon auch auf die Geschichte des Starstechens hin, das bereits 1.728 v. Chr. bei den Syrern bekannt war. Die Brutalität dieser Methode, bei der die Linse nach hinten ins Auge verschoben wurde, ist erschütternd.
Historische Horrrorfilme
Ein Film aus 1917 zeigte z. B. eine Operation, die von dem Pionier Ignacio Barraquer Facoeresis durchgeführt wurde. Er vereiste die Linse und riss sie dann aus dem Auge. Seine Patienten waren wochenlang im Spital und benötigten Starbrillen. Der nächste Pionier, der Engländer Ridley, setzte 1949 erstmals einem Patienten eine Kunstlinse aus Plexiglas ein. Dafür war ein großer Schnitt nötig und die OP hat nicht immer geklappt. „Bei den alten Filmen, die Sie gezeigt haben, sind mir die kalten Schauer über den Rücken gelaufen“, bekam der Augenexperte hinterher zu hören.
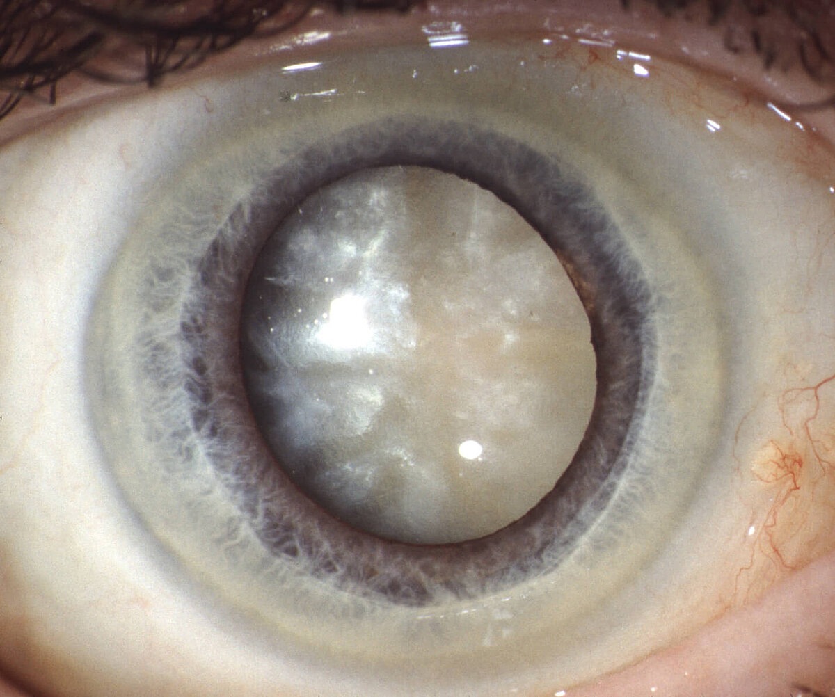
Für die Dramaturgie des Vortrages waren die „Horrorfilme“ jedoch sehr dienlich. Denn die spätere Präsentation modernster OP-Technik beeindruckte und überzeugte die Gäste. Davor wurden aber noch die verschiedenen Formen des Grauen Stars sowie mögliche Ursachen erläutert. Symptome für einen Katarakt sind z. B. Blendempfindlichkeit, Verschwommensehen, herabgesetztes Kontrastempfinden, vermindertes Sehen im Dunkeln, Kurzsichtigkeit (Myopie).
Grauen Star kann man operieren
Vor einer Katarakt-OP erfolgt heute die lokale Betäubung des Auges mittels Tropfen. „Der Vorteil der lokalen Betäubung besteht darin, dass die Patienten zum Fixationslicht blicken können und das Auge dadurch ruhig bleibt“, erklärt Michael Amon. Die getrübte Linse wird blau eingefärbt, damit sie gut sichtbar ist. Dann wird ein kleiner Schnitt von ca. 2,5 mm gesetzt, durch den die neue Linse später in gefaltetem Zustand eingesetzt werden kann. Davor wird aber noch die alte Linse mittels Ultraschall zerkleinert und abgesaugt. Heute kommt man ohne Nähte aus, die das Auge verzerren und das Sehen beeinflussen können. Die Vorteile: „Die Wunde heilt schneller und die Patienten dürfen nach der OP alles machen. Auch Bücken und Heben sind erlaubt – nur nicht am Auge reiben!“, mahnt der Augenchirurg.
Die Katarakt-OP ist die häufigste Operation weltweit, sie ist extrem sicher, komplikationsarm und reproduzierbar. Michael Amon empfiehlt eine frühe OP in einer Tagesklinik. Das in der Vergangenheit praktizierte „Reifen-lassen“ sei heute nicht mehr zeitgemäß.
Seit etwa fünf Jahren kann die getrübte Linse auch mittels Laser zerstört werden. „Diese Methode wird viel beworben, ist allerdings noch nicht völlig ausgereift. Außerdem dauert die OP doppelt so lange. Goldstandard ist die Ultraschall-Methode“, weiß Amon.
Verschiedene Arten von Augenlinsen
Besonderes Interesse riefen die verschiedenen Linsenarten (IOL=Intraokularlinse) hervor, die z. B. zur Korrektur von Kurzsichtigkeit oder Astigmatismus (Hornhautverkrümmung) eingesetzt werden. Multifokale Linsen und Zusatzlinsen können Ferne und Nähe korrigieren. Alle diese Linsen verfügen an den Seiten über zwei Schlaufen, die sogenannte „Haptik“, durch die sie im Kapselsack stabilisiert werden.
Im Anschluss an den Vortrag stand der Mediziner für zahlreiche Publikumsfragen zur Verfügung. Eine häufige Frage lautete: „Soll ich die Katarakt-OP machen lassen, auch wenn ich an AMD leide?“ Professor Amon konnte diesbezügliche Zweifel zerstreuen. Mit den Worten „Danke! Sie haben mir die Angst genommen!“ verabschiedete sich eine ältere Dame von dem Augenexperten, der uns seine wertvolle Zeit kostenlos zur Verfügung gestellt hatte.

